[성공사례] 뇌하수체 선종 암으로 인정!! 암보험금 전액 수령 성공!!
한결손해사정 2013-10-30
안녕하세요 금융감독원 정식 등록 손해사정회사 한결손해사정입니다.
 
 
 
이번 성공사례는 뇌하수체 선종 (D35.2) 을 진단받고 암보험금을 전액 지급 받은 사례입니다.
 
암진단을 받고 암보험금을 받았다면 당연한 일이지만, 뇌하수체 선종은 조직학적으로 암이 아닙니다. 일반 양성 종양이기 때문에 보험약관에서 정한 C코드가 아닌이상 암보험금에 해당 자체가 안되는 것입니다.
 
이번 사례의 피보험자 OOO님도 조직학적으로는 암이 아니며, 질병분류번호 또한 D35.2로 양성종양 진단을 받았습니다. 그렇지만 결론적으로는 보험사로부터 암보험금 지급이 적정하다는 결론을 얻었고 그에 따른 보험금을 지급 받았습니다.
 
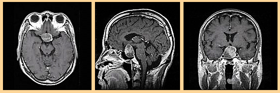
뇌의 종양, 뇌하수체 선종은 무엇인가요?
뇌하수체 선종은 말그대로 뇌의 기저부에 있는 뇌하수체에 발생한 선종, 즉 종양을 말합니다. 많은 뇌종양의 종류중 위치적인 이유에서 불린다고 생각하면 됩니다.
 
 
 
흔히 말하는 암은 이 종양이 '악성'일때를 말하는것으로, 조직검사 결과를 바탕으로 합니다. 그런데 이 뇌하수체 선종은 말그대로 선종일 뿐으로 조직학적으로는 '악성'이 아닌것입니다. 그래서 [위치적인 '뇌하수체'+ 종양의 형태 '선종']으로 뇌하수체 선종이라 합니다.
 
뇌하수체 선종, 다른 종양과 무엇이 다른가?
이렇게 뇌나 심장등에서 발생한 종양은 다른부위의 종양과는 조금 다릅니다. 조직학적으로는 똑같이 양성이지만 그 부위가 인체의 너무도 중요하고 위험한 부위에서 발생한것이기 때문에 의미가 다릅니다.
 
 
암의 의학적인 정의는 많겠지만, 흔히 '큰 장애나 고치기 어려운 나쁜 폐단을 비유적으로 이르는말'로도 쓰입니다. 뇌하수체에 발생한 이 종양이 인체에 끼치는 영향의 정도를 생각한다면 그 말과 의미가 비슷하다고 보면 될듯합니다.
 
사례로 보는 뇌하수체 선종 암보험금 수령!!
의학적으로는 분명히 암이 아닙니다. 의학적으로만 보면 암과 관련된 진단비나 수술비등을 못받는게 당연합니다. 하지만 보험약관은 의학서적이 아니기때문에 보험학적으로 손해사정이 필요한 부분입니다.
 
 
진단서에서와 같이 뇌하수체 선종 진단하에 경접형동 종양제거술을 하셨습니다. 뇌하수체 선종을 암보험금으로 인정받기위한 분쟁도 있지만, 이번 사례는 그외에 2011년 1월 진단받은건으로 청구권 소멸시효에 대한 분쟁도 추가로 있었기 때문에 많은양의 손해사정 보고서 작성이 이루어졌습니다.
 
하지만 다행히 보험사에 접수전 당사에 먼저 문의를 주셨고, 간단한 서류만 요청, 상담후 1차적인 손해사정결과 암보험금 인정 가능성이 있어 계약체결을 했습니다.
 
 
그 덕분에 보험사보다 먼저 관련자료 확인 및 확보를 할 수 있었고, 이러한 자료를 바탕으로 금융감독원 기준에 의해 정식으로 손해사정 보고서를 작성, 접수!!
 
그 이후 보험사에서 조사와 주치의 면담, 의료자문등이 필요하다는 전형적인 요구가 있었습니다.
 
약관상 그 기본적인 요구에 거부를 할 경우 보험금 지급 제한 사유가 되기 때문에, 요구에 응하면서 몇차례의 분쟁이 있었지만, 손해사정 한 결과 당사의 관련 자료에 대해 타당성을 인정받고 암진단비, 암수술비등 전액 보험금 지급!! 보험료 납입면제!!
 
 
주의하십시오!!
의학이나 보험, 관련 법률에 대한 지식이 답이 아닙니다. 관련자료의 확인을 누가 하느냐에 따라 답이 달라질 수 있습니다.
진단서, 보험증권, MRI기록등 간단한 서류만으로 1차적으로 상담이 가능합니다.
 
뇌하수체 선종 암보험금 청구시 반드시 보험금 청구전에 보험소비자측 손해사정사와 상담을 우선 하시고, 이미 청구를 했더라도 암보험금에 대해서 요청을 안했거나, 했더라도 아직 조사가 이루어진 상황이 아니라면 반드시 보상전문가인 보험소비자측의 손해사정사의 조력으로 보험료에 대한 정당한 권리를 찾으십시오!
 
한결손해사정
 
(우) 135-814 서울시 강남구 논현동 20-17 제일빌딩
전국대표번호(Tel) : 1644-0564 Fax : 02-6455-3482
Mobile : 010-2168-0582
돌아가기 Back
주소 : (우) 06158 서울시 강남구 테헤란로 79길 6 (삼성동) JS타워 3층 한결손해사정
TEL : 1644-0564 FAX : 02) 6455-3482
사업자등록번호 : 211-10-83288 금감원등록번호 : G0001395
copyright(c) 2025 한결손해사정, all rights reserved
TOP